
Was gestern unmöglich erschien ist morgen für uns Alltag. Wir optimieren stets unsere Technologien, Prozesse und Arbeitsabläufe. Durch kontinuierliche Investitionen in neue Software und innovative Geräte finden wir Lösungen für die täglichen Herausforderungen in der modernen Zusammenarbeit zwischen Labor und Praxis
CMD Erkennen Behandeln Umsetzen!
Sollte bei der klinischen Funktionsanalyse und manuellen Strukturanalyse eine Dysfunktion diagnostiziert werden, ist eine instrumentelle Funktionsdiagnostik mittels Zebris der nächste Schritt, um für den Patienten die optimale therapeutische neue Bissposition zu generieren und die Dysfunktion digital zu dokumentieren.
Im Behandlungsverlauf durch Schiene oder Snap-on in Zahnfarbe wird erneut gemessen und somit die optimierten Patientenbewegungen und
Gelenkräume dokumentiert. Folgend ist bei rechtlichen Fragen mehr Sicherheit vorhanden. Der größte Vorteil des Zebris-Systems ist, dass die realen Bewegungen des Patienten in die Modellierungssoftware geladen werden können, so dass die Schiene und der Zahnersatz entsprechend der tatsächlichen Bewegung des Patienten und nicht entsprechend der Einstellung des manuellen oder digitalen Mittelwertartikulators zugeschnitten werden. In unsere Auswertung können idealerweise Modellanalyse, OPTG und DVT-Daten mit einfließen. Neueste Erkenntnisse zeigen, dass oft ein einseitiges Kompressionsgelenk eine Mittellinienverschiebung bewirkt und hier ein einseitiges Snap-on therapeutisch sinnvoll ist. Das Snap-on kann vorerst als Probephase herausnehmbar gestaltet werden und dann verklebt werden. Die neueste Softwarelösung aus dem Hause Zebris mit dem Namen „digitale Okklusion“ zeigt die okklusalen Kontakte in Echtzeit an und kann somit auf Hyperbalancen hinweisen.


NEM, das läuft wie Gold
Das Primärteleskop wird in einem Grad Neigung gefertigt und die äußere Fräsfläche taktil vermessen. Somit haben wir eine digitale Datengrundlage, auf der die gesamte Sekundärstruktur am Computer designt wird. In unseren eigenen Fräsanlagen wird das Gerüst aus einem Block gefräst. Das garantiert eine enorme Stabilität und unerreichte Passung. Die gute Gleitfähigkeit ist spürbar, denn Primär- und Sekundärteleskop sind aus einem speziellem NEM gefräst welches für die Teleskoptechnik optimiert ist. Hier wird zum Beispiel auf Bestandteile, welche zum Metallguss benötigt werden, verzichtet.
Test
Wenn eine neue Gesamt-Ästhetik gestaltet wird, ist es hier möglich in einem zweidimensionalem Patientenfoto das neue dreidimensionale Lächeln zu designen. Sonst ist es nur möglich über den Gesichtsbogen oder Ästhetik-Anproben zum Ergebnis zu kommen. Mit dem Digital Smile Creator sehen wir, wie das neue Lächeln im Patientengesicht mit seinen Orientierungspunkten wie Bipupillarlinie und Lachlinie, wirkt. Dem Patienten kann sogar vor dem Behandlungsstart generiert werden, wie er später aussehen könnte.
Bildquelle: Exocad



Bei der Gerüstherstellung modellieren wir als ersten Schritt die volle Anatomie und reduzieren das Gerüst bei Zirconiumdioxid 0,4 mm und bei Chrom-Kobalt 0,6 mm. Somit ist die Keramikschicht auf ein Minimum reduziert und gibt somit Sicherheit vor Abplatzungen. Wir verwenden ausschließlich beste Gerüst- und Verblendwerkstoffe aus Deutschland und stellen alles komplett in unserem Labor her. Bei einer Frontzahnrestauration kommt der Patient idealerweise nach einer Gerüstanprobe einen Tag vor dem Einsetzen zur Farbanpassung zu uns in das Labor.
Wir stellen ausschließlich individuelle Abutments her, um hier die Grundlage für eine hoch ästhetische Versorgung zu setzen. Optimierte Funktionslöffel als perfekte Abdruck-Grundlage sind für uns sehr wichtig. Wir nutzen hier ein spezielles Modellationsprogramm für Implantat Löffel. Wenn uns die Informationen der Implantatgeometrie und Höhe des Gingivaformers vorliegen, wird der Abformpfosten ideal im Löffel stehen.


Wir erstellen einen Positions-Vorschlag der einzelnen Implantate und Sie können mittels gelieferter Software, die Herstellung der Bohrschablone freigeben, Änderungswünsche angeben oder selbst die Stellung der Implantate korrigieren.
Sie bekommen ein umfangreiches Bohrprotokoll und einen Chirurgiebericht für die Implantation. Hier wird für jedes Implantat eine Abfolge von Bohrern vorgeschlagen.
Wir passen die Schleimhautsituation in die gelieferten DVT-Daten ein und planen zunächst nach Lokalisation der Kieferhöhle und des Unterkiefernervs, die Vollanatomie der Endversorgung. Im Folgeschritt kann....
eine einfache Pilotschablone oder eine „Full Guided“ Schablone mit Tiefenanschlag und Haltedorn hergestellt werden. Diese Schablonen werden bei uns im Labor mit einem zertifizierten Material der Klasse IIA im 3D-Druckverfahren hergestellt. Das Planungsprotokoll wird als ausführlicher Planning-Report mitgeliefert.
3D-Druck, aus einem Block gefräst oder tiefgezogen - unsere Möglichkeiten sind vielfältig. Je nach Praxiskonzept kommen unsere verschiedenen Materialien zum Einsatz. Aktuell setzt sich immer mehr die „Comfort Schiene flex“ aus dem 3D-Druckverfahren durch. Diese Schiene ist in der Oberfläche hart und hat dennoch eine leichte Flexibilität. Das Material hält somit den Biss, kann jedoch durch ihre thermoplastischen Eigenschaften am Patienten schnell angepasst werden und weist keine Spannungen im Frontzahnbereich auf.
Neueste Erkenntnisse aus der Wissenschaft besagen, dass oft eine minimale punktuelle Anhebung und Wiederherstellung der Eckzahnführung eine deutliche Verbesserung der Funktion bietet. Hier kommt zahnfarbenes Polycarbonat zum Einsatz. Polycarbonat ist nylonverstärkt und kann mit einer Mindeststärke von 0,3 mm hergestellt werden. Diese Methode lässt es zu die so genannten Snap-on Schienen vorerst in der Probephase herausnehmbar zu lassen und nach ein bis zwei Wochen zu zementieren, um eine höhere Adaptation zu generieren.



Totaler Zahnersatz neu aber die alten Schlifffacetten und individuellen Merkmale übernehmen? Das geht jetzt mit dem "Copy-Denture" Protokoll. Hier wird die aktuelle Prothese unterfüttert und mit einem Intraoral-Scanner eingescannt. Nun können wir eine perfekte Kopie erstellen.
Besserer Halt. Besser Sprechen. Bessere Ästhetik. Besser Essen können.
Nach einem eigenen Konzept, auf der Grundlage von...
Prof. Gutowski.
Die Totale Prothese ist das ungeliebte Kind in den meisten Zahnarztpraxen und Dentallaboren. Mit unserem Konzept holen wir aus jedem Teilschritt in Praxis und Labor alles heraus. Die Techniken und Materialien für Abdrücke, Arbeitsschritte im Labor, Prothesenbasis und Zahnstatik sind hier entscheidend. Anstelle einer Alginatabformung wird bereits mit einem speziellen Silikon und speziellen Löffeln begonnen.
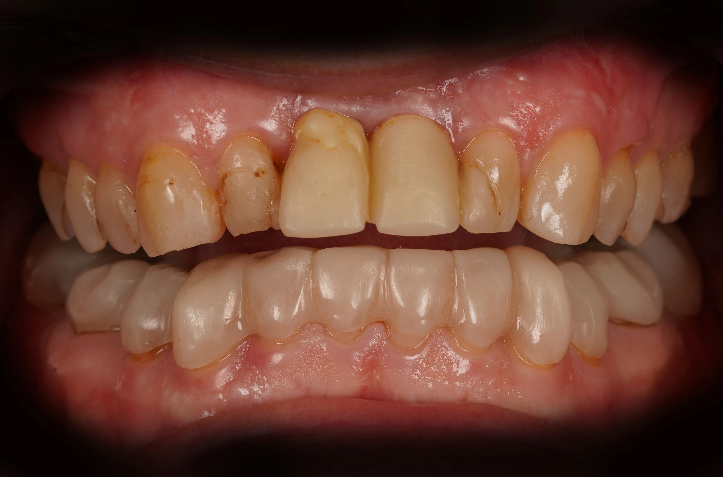
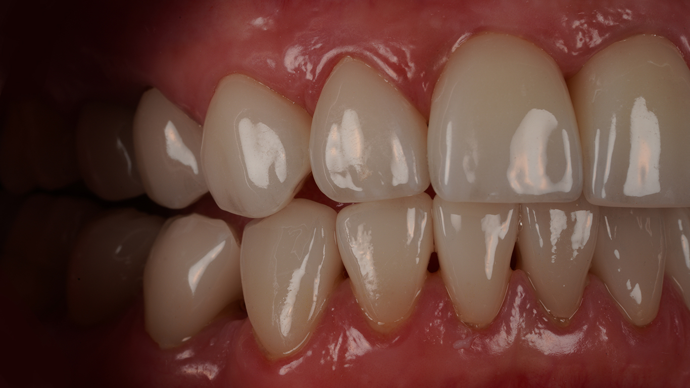
In unserem hochmodernen Dentallabor kombinieren wir traditionelles Handwerk mit modernster Technologie, um Ihnen das Beste aus beiden Welten zu bieten. Eine unserer innovativsten Leistungen ist die Herstellung von Kronen mittels Künstlicher Intelligenz (KI).
Wie funktioniert die Herstellung?
Unsere KI-gestützten Systeme analysieren präzise Ihre individuellen Zahndaten, die durch hochauflösende Scans gewonnen werden. Basierend auf diesen Daten entwirft die KI in kürzester Zeit eine maßgeschneiderte Krone, die perfekt auf Ihre Zahnsituation abgestimmt ist. Dieser Entwurf wird anschließend mit unseren hochpräzisen CAD/CAM-Maschinen in hochwertigsten Materialien gefertigt, um eine Krone zu schaffen, die sowohl ästhetisch als auch funktional überzeugt.
Vorteile von KI-Kronen:
- Maximale Präzision: Die KI berücksichtigt selbst kleinste Details, um eine perfekte Passform zu gewährleisten, die das natürliche Aussehen und die Funktionalität Ihres Zahns ideal nachbildet.
- Schnelligkeit: Durch den Einsatz der KI verkürzt sich die Produktionszeit erheblich, sodass Sie schneller zu Ihrem neuen Lächeln gelangen.
- Langlebigkeit: Die mit KI gefertigten Kronen sind extrem robust und bieten eine lange Lebensdauer, was sie zu einer nachhaltigen Lösung macht.
- Individuelle Anpassung: Die Krone wird genau auf Ihre Bedürfnisse und Zahnsituation zugeschnitten, was ein Höchstmaß an Tragekomfort und Funktionalität sicherstellt.
Die KI Krone ist eine Softwarelösung der Firma EXOCAD aus Darmstadt.


Lehnitzstraße 21
16515 Oranienburg